Anchor Lock Cranial Cruciate Ligament Repair Surgery For Small Dogs In The Kansas City Area
The Anchor Lock procedure is an advanced orthopedic surgery for treatment of cranial cruciate ligament rupture in the knee joint of dogs. It is an alternate procedure to the TPLO surgery and may be recommended especially for small breed and light weight dogs.
Dr. Joe Rodier is an experienced orthopedic surgeon who has been performing cranial cruciate ligament repair surgery for dogs in Blue Springs and the surrounding Kansas City areas for more than 30 years. Dr. Rodier receives many referrals and 2nd opinions every year from local veterinarians in Kansas and Missouri. He has performed in excess of 10,000 of knee surgeries using various techniques with excellent patient outcomes.
Deciding which surgical procedure is right for your pet and choosing a veterinarian to do the surgery are important decisions. We offer a free 2nd opinion exam and consultation with Dr Rodier for new clients. He will examine your pet to discuss the diagnosis and treatment options and answer your questions.
Why is a different surgical procedure often recommended for small dogs with a cranial cruciate ligament (CCL) tear?
Current surgical techniques to repair a torn cranial cruciate ligament can be divided into two broad categories.
- Procedures such as the TPLO and MMP-TTA change the orientation of the leg bones to provide stabilization of the knee and are the most effective treatment for larger dogs. Especially in larger dogs there is often sub-optimal leg anatomy causing poor alignment of the bones and excessive slope on the top of the tibia. The excessive slope exerts constant pressure on the ligament to hold the bones in proper position. Changing the orientation of the bones eliminates the excessive slope and provides strong stabilization to support the heavier weight of large breed dogs.
- Procedures like the Anchor Lock utilize prosthetic materials to mimic the function of the cranial cruciate ligament and hold the knee in alignment while the body develops scar tissue to provide long term stabilization. Small dogs have less weight and stress on their knee and are less likely to have anatomical abnormalities like large breed dogs that need to be corrected with the more complex bone surgeries. The Anchor Lock surgery is a simpler, less invasive, and less expensive alternative that provides good results in many small dogs.
In the picture below, Dr Rodier evaluates the knee of a small dog prior to surgery. Dr. Rodier has many years of experience with the various surgical options and will evaluate your dog's unique situation and make the best recommendation.

How does the Anchor Lock surgery work?
The Anchor Lock surgery utilizes an implanted anchor in the femur bone to securely fixate a suture at points biomechanically similar to the CCL. This prosthetic material has been used with success in human joint stabilizing procedures and provides the temporary stabilization necessary for scar tissue to form and provide long term joint stability.
During the Anchor Lock surgery an anchor implant is placed on the back of the femur bone to fixate a special suture. A tunnel is drilled through the tibia bone and the suture is run through the tunnel and around a surgical button.

The suture is tightened to pull the bones into alignment and tied to hold the knee in place.

Photos courtesy of Arthrex Vet Systems. © 2024-08 Arthrex, Inc. All rights reserved.
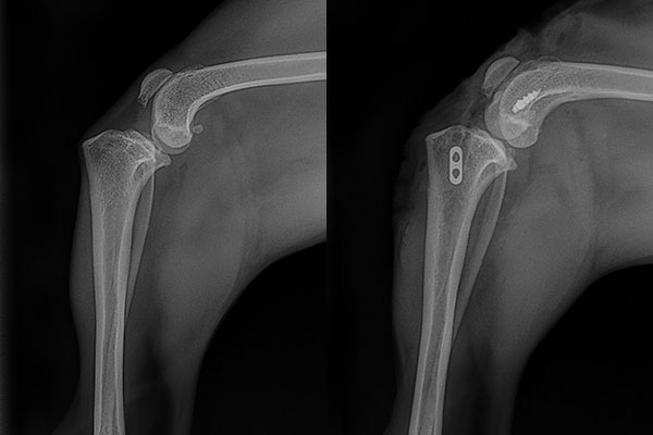
Before and after radiographs (X-rays) of an Anchor Lock surgical repair of a torn cranial cruciate ligament in a small dog. In the X-ray prior to surgery the cranial cruciate ligament is torn which allows the tibia (lower bone) to move forward and the femur (upper bone) to slide down the back side of the joint. After repair the surgical implants are visible and the femur has been restored to the normal position on top of the tibia.

What factors are important when choosing the best veterinarian to perform cruciate ligament surgery on your dog?

It is an important decision to choose which veterinarian should do your dog's cranial cruciate ligament surgery. Orthopedic surgery of the knee has a steep learning curve and should be performed by a Veterinarian with advanced training for the procedure and extensive experience with successful patient outcomes.
Dr. Joe Rodier has taken advanced training courses in TPLO, MMP-TTA, Tightrope, and the Anchor Lock procedures. He has 30+ years of experience and a record of success with these advanced orthopedic procedures. In addition he trained one-on-one with a board certified veterinary surgeon who is a Diplomate of the American College of Veterinary Surgeons.
Dr. Rodier receives many referrals and 2nd opinions every year from local veterinarians in Kansas and Missouri and is available for consultation, second opinions, or referrals for cranial cruciate ligament repair surgeries. Dr. Rodier will provide a complimentary 2nd opinion consultation and exam free of charge for new clients to determine if the TPLO surgery is the right procedure for your pet.